91论坛

您好,欢迎进入西安中心医院官方网站!

手机版二维码
医学教研

医学教研

 » 内容
神经外科专家带您认识:什么是胶质瘤?
发布人:xaszxyy2  发布日期:2024-08-22


胶质瘤是什么?

胶质瘤颅内最常见的原发性肿瘤,年发病率约为5~8/10也是颅内最常见的恶性肿瘤,占中枢神经系统肿瘤的40%,占恶性肿瘤的80%是神经外科治疗中最棘手的难治性肿瘤之一,称之大脑杀手


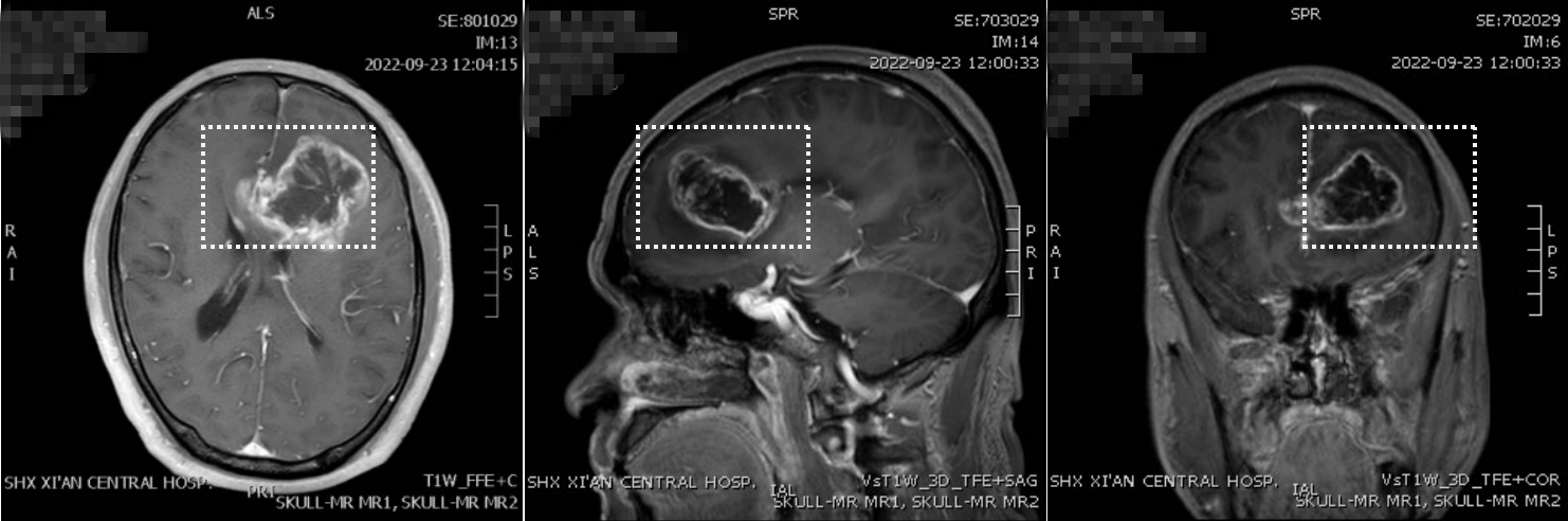
左侧额叶胶质母细胞瘤

   胶质瘤起源于异常的或不可控制生长的脑细胞,而不是从身体其他部位转移而来的,被称为原发性脑胶质瘤。从肿瘤形态(表面上)和病理学(本质上)来看,可以分为低级别胶质瘤高级别胶质瘤。如果把良性肿瘤看作“好人”的话,那胶质瘤无疑是“坏人”。但是坏人也分不同程度的坏,比如低级别胶质瘤周围水肿较轻,对周围组织影响较小,属于“有点坏的坏人”,但高级别胶质瘤内有出血坏死,水肿重,对周围组织影响甚大,可以认为是“大坏人”

 

出现哪些表现或症状提示胶质瘤?

最常见的症状如出现进行性头痛、恶心呕吐、癫痫发作、记忆力减退、视力下降、肢体活动障碍、身体感觉障碍等,有不明原因出现人格改变、语言障碍、行走不稳等表现,都要引起重视。脑胶质瘤的症状表现依其病理类型和肿瘤所在部位大有不同。

 有哪些因素可引起胶质瘤?

目前胶质瘤的具体致病机制仍然不是很明确,但是根据现有研究资料,长期接受到超过一定剂量的电离辐射的影响是会在一定程度上增大患脑胶质瘤的风险,一些较为罕见的基因遗传突变也是增大风险的危险因素。此外,一些普遍性致癌物质同样也有致脑胶质瘤的风险,例如食用亚硝酸盐食品、感染病毒或细菌等。


得了胶质瘤应该怎样治疗?

手术治疗是目前胶质瘤治疗的首要手段 治疗原则是最大范围安全地切除肿瘤组织,尽量使其对正常脑组织的损害降到最低。其不仅可以缓解颅内的压力、缓解症状,还可以明确分子病理诊断及判定级别,为下一步规范化治疗提供依据。

手术、放疗、化疗并称胶质瘤治疗的“三驾马车”,尤其对高级别胶质瘤更是必须进行的治疗措施,此外,靶向药物治疗、免疫治疗、基因治疗、生物治疗、电场治疗、离子治疗等综合治疗也是胶质瘤辅助治疗措施。

现在的 “手术治疗武器”已经非常多样化,如高清显微镜、多模态图像重建、功能神经导航、术中神经电生理监测、术中实时影像(如术中超声/ MRI)、术中荧光、“唤醒手术”等新技术。可以真正实现在保护脑功能的前提下,尽可能彻底切除肿瘤组织, 实现“精准化、微创化”治疗目标。